News Santé
Electrocardiogramme
Un électrocardiogramme est l’examen que l’on réalise lorsqu’on soupçonne un problème cardiaque. Il permet ...
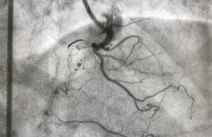
Artériographie
L’artériographie est un examen aux rayons X des artères. Il est réalisé par un radiologue qui va placer dans ...
Coelioscopie
La coelioscopie est une technique opératoire qui permet de réaliser des interventions chirurgicales à ventre ...
Ostéodensitométrie
L’ostéodensitométrie est un examen medical ayant recours aux rayons X. Il est également appelé ...
Urographie intraveineuse
L’urographie intraveineuse est un examen de radiographie qui permet de visualiser l’arbre urinaire (reins, ...
Hystéroscopie
L’hystéroscopie est un examen d’exploration qui consiste à aller voir à l’intérieur de l’utérus à ...
Fibroscopie bronchique
La fibroscopie bronchique est un examen d’exploration des bronches et de la trachée. Il consiste à introduire, ...
Fibroscopie gastrique
On parle également d’endoscopie digestive haute. La fibroscopie gastrique est un examen qui se déroule dans une ...
Coloscopie
La coloscopie est l’examen de dépistage le plus fiable afin de mettre en évidence des lésions éventuelles ...
Tomographie par Emission de Positions
La Tomographie par émission de positions est un examen de médecine nucléaire qui combine deux images : celle de ...












