En 2022, plus de 2 800 Français sont décédés à la suite des vagues de chaleur estivales. Si certaines ...
La marche peut être pratiquée par tout le monde et très facilement. Elle est excellente pour la santé et a de ...
Après 50 ans, le corps a plus de difficulté à éliminer les graisses, qui se stockent dans le ventre, à cause de ...
On distingue les fruits naturellement secs, comme les noix, les noisettes ou les amandes, des fruits que l’on ...
Plats gras, sucreries, les verres d’alcool… Attention à votre foie qui peut être chargé en toxines et moins ...
La musculation attire les individus de tous âges, notamment les jeunes adolescents qui cherchent à améliorer leur ...
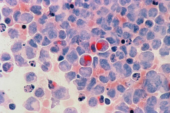
Une nouvelle chimiothérapie est en train de bouleverser la recherche scientifique sur le cancer. Selon une étude ...
Les coquilles d’œufs sont pleines de minéraux, de calcium, de magnésium, de carbonate ou encore de sulfate. ...
Certaines personnes peuvent être plus dures et avoir un caractère caractérisé de plus fort que les autres. Si ...
La plupart des gens se lavent au moins une fois par jour. Mais selon plusieurs études, il semblerait que se doucher ...












