Analyse d’urines
L’analyse d’urines également nommée ECBU (examen cytobactériologique des urines) est l’examen ...
Scanner cérébral
Le scanner cérébral est également appelé tomodensitométrie du cerveau. Il s’agit d’une ...
Radiologie
La radiologie médicale désigne un ensemble d’examens médicaux, diagnostiques et thérapeutiques pratiqués par ...
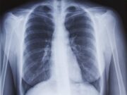
Radiographie
La radiographie repose sur l’utilisation des rayons X. Il s’agit d’une technique d’imagerie médicale qui ...
Des vaccins pas piqués des vers
Toutes les enquêtes le montrent, le Français a pris les vaccins en grippe. Plus on lui serine qu’il doit se ...
Du neuf avec des voeux
Après une année dont les vœux d’inauguration ont tourné au fiasco, une année qu’il aurait été souhaitable ...
Maladies Rares : zoom sur l’Arthrite Juvénile Idiopathique
Ils ont moins de 16 ans et souffrent déjà de l’arthrite. Le terme médical est l’arthrite juvénile ...
Covid-19 : pas de reconfinement pour le moment même si la rentrée scolaire inquiète
Alors que des épidémiologistes et des parents d’élèves, inquiets de la situation en Grande-Bretagne, ...










